Ortopedia Veterinaria
Ortopedia, traumatologia e fisioterapia a CVE
Dal 2017, la Clinica Veterinaria Europa ospita un Reparto specialistico di Ortopedia, Traumatologia e Fisioterapia, diretto dalla Dott.ssa Pamela Adami. Con un metodo chirurgico rigoroso e protocolli aggiornati, un team qualificato e una predisposizione a 360° nella gestione di problemi ortopedici e muscolo-scheletrici, la Clinica di Corso Italia è diventata un punto di riferimento per cani, gatti e conigli, dai cuccioli agli anziani. Il CVE offre servizi completi, dalla visita ortopedica preventiva, allo studio radiografico, stabilizzazione post-operatoria e trattamenti fisioterapici, garantendo un rapido ritorno alla deambulazione per i nostri amici animali.
La mission dell’equipe ortopedica della Clinica veterinaria Europa, che può contare su 4 ambulatori di visita, un pronto soccorso, sale operatorie, sale radiologiche e per il servizio diagnostico TAC, sala degenza e sala ecografica, è difatti quella di intervenire velocemente laddove siano riscontrati problemi causati da un incidente domestico, da un trauma oppure patologie alle articolazioni e agli arti e accelerare la ripresa completa dei piccoli pelosetti. I moderni strumenti di cui il reparto si avvale, garantiscono la guarigione ossea e la deambulazione già nelle prime ore successive
Servizi offerti dalla Clinica Veterinaria Europa
Il reparto di Ortopedia, Traumatologia e Fisioterapia, gestito dalla Dott.ssa Pamela Adami, specialista in Ortopedia, offre:
- Visite ortopediche specialistiche (cuccioli e adulti)
- Esami radiografici di prevenzione e trattamento displasia dell’anca, del gomito e della rotula
- Trattamento per l’osteoartrosi (cani anziani)
- Chirurgia ortopedica
- Studi TAC
La clinica è inoltre autorizzata dalla FSA a eseguire controlli radiografici ufficiali per la displasia dell’anca e del gomito del cane, inviando i risultati alla centrale di lettura FSA.
Le displasie articolari nei cani
Le displasie dell’anca e del gomito rappresentano due delle più comuni malattie ortopediche nei cani, influenzando significativamente la loro qualità di vita. Queste condizioni sono particolarmente rilevanti durante la crescita, specialmente nelle razze di taglia grande e gigante. Fattori genetici, ambientali, traumatici e nutrizionali possono alterare la conformazione dell’anca e del gomito, causando danni degenerativi come l’artrosi.
Cosa sono le displasie dell'anca e del gomito
Queste malattie ereditarie colpiscono molte razze canine durante la crescita, causando dolore e riducendo la qualità della vita. La displasia dell’anca è una malformazione in cui la testa del femore non si adatta perfettamente alla cavità del bacino, mentre la displasia del gomito comporta una crescita disarmonica delle ossa che compongono l’articolazione.
Le razze più predisposte
- Bulldog
- Dogue de Bordeaux
- Mastino napoletano
- San Bernardo
- Cane Corso
- Terranova
- Rottweiler
- Golden Retriever
- Pastore Tedesco
- Chow Chow
- Bovaro del Bernese
- Terrier nero russo
- Bulldog americano
- Labrador Retriever
La causa è genetica
Le displasie si ereditano: si trasmettono cioè dai genitori ai figli e a trasmetterle non sono solo i cani visibilmente displasici, cioè malati. Possono farlo anche genitori che, pur essendo apparentemente sani, sono in realtà portatori nel proprio DNA di alcuni dei tantissimi (oltre 100) geni per la displasia e, dunque, sono potenzialmente in grado di trasmetterla. La displasia dell’anca e la displasia del gomito sono malattie cosiddette multifattoriali. Alla predisposizione genetica possono cioè sommarsi altri fattori, che aggravano l’espressione della malattia displasica e/o ne accelerano il decorso come ad esempio l’alimentazione. Per la displasia dell’anca, sono sotto accusa in particolare le diete ipercaloriche. Regimi dietetici di questo genere provocano nei cuccioli, specie di taglia grande e gigante, un incremento del peso assai più rapido di quello previsto dallo standard di razza e, nel contempo, determinano un’accelerazione della crescita ossea, non controbilanciata da uno sviluppo proporzionale dei necessari supporti muscolari e legamentosi.
Radiografie preventive per la diagnosi precoce delle displasie di anca e gomito
Le displasie possono essere diagnosticate precocemente con esami radiografici eseguiti dal quinto/sesto mese di vita. Questi esami, effettuati in sedazione, includono proiezioni specifiche per anca e gomito e sono essenziali per intervenire tempestivamente.
Le displasie sono patologie genetiche che colpiscono l’apparato muscolo scheletrico del cane e portano inevitabilmente a degenerazione articolare con conseguente sviluppo di osteoartrosi.
Tutti i cani che da adulti avranno un peso di 15/20 kg sia di razza che meticci sono soggetti alle displasie. Tale esame può essere eseguito dal quinto/sesto mese di vita quando i meccanismi degenerativi sono al loro esordio.
Spesso il cucciolo è asintomatico perché solitamente inizia a zoppicare solo dopo aver terminato la crescita. L’esame prevede una visita ortopedica con studio radiografico in sedazione.
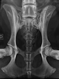
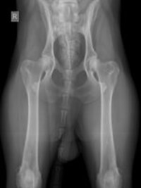
Nello specifico lo studio dell’anca prevede ben 4 proiezioni (antero posteriore standard, in distrazione, a rana e dar).
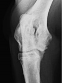
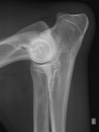
Lo studio del gomito prevede due proiezioni (latero /laterale e antero posteriore).























